

®
MASCHERINE AD ALLINEAMENTO PROGRESSIVO

Cosa sono?
Le Smile Up sono una serie di mascherine ad allineamento progressivo.
Ogni allineatore viene costruito su un modello prototipato riportante lo spostamento computerizzato step-by-step progressivo fino ad ottenere lo spostamento ottimale dei denti.
Come usarle?
Il tempo di utilizzo giornaliero è di almeno 21 ore
L'utilizzo degli allineatori segue basilari regole che permetteranno alle Smile Up di compiere il loro ''lavoro'' in maniera ottimale: scarsa collaborazione prolungherà i tempi di trattamento e andrà ad inficiare sul risultato finale.
Vanno utilizzate a tempo pieno, togliendole solo per i pasti, in caso si assumano bevande calde o particolarmente coloranti (caffè o thè) e preferibilmente quando si fuma.
Attuare una corretta igiene orale prima dell'inserimento delle mascherine per evitare possibili processi cariogeni, associandola ad una pulizia delle mascherine con spazzolino, acqua e sapone.
Chiedere al vostro dentista se possono essere utilizzate durante le attività sportive.
La comparsa di dolori o rumori articolari devono essere immediatamente segnalati al proprio clinico. Indolenzimento dentale o lievi problemi fonetici sono normali nei primi giorni di utilizzo.
L'utilizzo delle Chewies Seaters è molto importante! Seguire il protocollo come indicato nelle istruzioni allegate all'interno della scatola Smile Up.
Procedura
Alla prima seduta il dentista valuterà se il caso è trattabile con Smile Up. Successivamente verranno rilevate le impronte e inviate in laboratorio. Scansionate e importate digitalmente su computer si procederà con un software specifico all'allineamento ideale dei denti delle arcate.
Il laboratorio provvederà ad inviare al clinico via mail lo "Smile-Check":
-
Immagini comparative prima e dopo l'allineamento
-
Immagini sovrapposte delle arcate con relativi indici di spostamento
-
Tabella riassuntiva degli spostamenti effettuati
-
Relazione comprendente numero di mascherine necessarie con indicazione sull'eventuale utilizzo di attachment ed eventuale I.R.P. interprossimale.
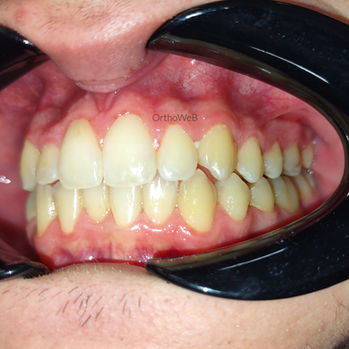
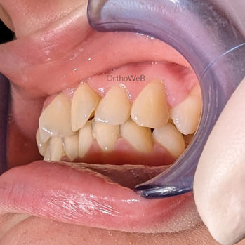
Risultati
Ecco come avvengono gli spostamenti step-by-step dei denti grazie alle mascherine Smile Up !
Pack sconto
Il laboratorio di ortodonzia OrthoWeB offre le sue mascherine ad un prezzo estremamente competitivo consigliato per piccole serie di mascherine .
Nei casi più complessi OrfthoWeB ha studiato quattro differenti pacchetti per venire incontro ad ogni esigenza economica e risolutiva dei casi.
@smileup_orthoweb

























